Page 1744 - Hall et al (2015) Principles of Critical Care-McGraw-Hill
P. 1744
CHAPTER 124: Toxicology in Adults 1213
intravenous use produce symptoms within seconds that peak in 3 to been associated with sinusitis and botulism. 232,233 In addition, cocaine
5 minutes, and have variable lengths of activity from 15 to 60 minutes. 208 increases the likelihood of violent fatal injuries. 234
Common central nervous system manifestations include euphoria, Treatment of cocaine intoxication starts with the ABCDs of resuscita-
anxiety, agitation, psychosis, and delirium. Rarely, cocaine-induced tion and treatment of seizures, hyperthermia, and agitation. Gut decon-
ischemic cerebral infarction is mistaken for a psychiatric condition. tamination is restricted to cases of body packing. Body packers swallow
209
Seizures are generally short-lived and self-limited unless there is ongo- multiple wrapped packages of cocaine (or any other illegal substance of
ing drug absorption (as in body packers or body stuffers) or other central abuse) in an attempt to smuggle the drug across borders; body stuffers
nervous system pathology. Several mechanisms are likely responsible for conceal wrapped packets of the substance in various body cavities when
more serious central nervous system complications. A sudden rise in law enforcement agents approach. For orally ingested drug, AC should
235
blood pressure may cause intracerebral hemorrhage and subarachnoid be given to decrease drug absorption. In body packers whole-bowel irri-
hemorrhage, particularly in association with an underlying aneurysm gation with a polyethylene glycol electrolyte solution (eg, GoLYTELY)
or arteriovenous malformation. Vasospasm, vasculitis, myocardial 1 to 2 L/h is recommended until the rectal effluent clears and there is
210
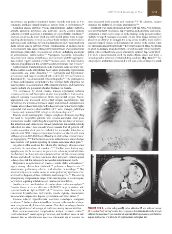
infarction with cardiac arrhythmias, and increased platelet aggregation no radiographic evidence of retained drug condoms (Fig. 124-2). For
236
may further trigger ischemic events. In most cases, the time interval this purpose, abdominal ultrasound, a CT scan with contrast or a small
211
between drug abuse and the cerebrovascular event is less than 3 hours. 212
Cardiovascular manifestations include chest pain, acute coronary syn-
drome, sudden death, arrhythmias, heart failure, pulmonary hypertension,
endocarditis, and aortic dissection. 213-215 Tachycardia and hypertension A
are common and may be combined with a fall in LV ejection fraction as
determined by two-dimensional echocardiography. The pathogenesis
216
of these cardiovascular complications has not been fully explained, but
may be related to a combination of the sympathomimetic and membrane
effects (sodium and potassium channel blockade) of cocaine.
The mechanism by which cocaine induces myocardial ischemia
remains controversial. Most prior studies have postulated that cocaine-
induced coronary vasoconstriction limits myocardial oxygen. Platelet
aggregation and increased myocardial oxygen requirements may
further fuel the imbalance between supply and demand. Asymptomatic
cocaine abusers have been reported to have left ventricular hypertrophy,
segmental wall motion abnormalities, ST-T wave changes, pathologic
Q waves, and increased QRS voltage on electrocardiogram. 217
Baseline electrocardiographic changes complicate decisions regarding
the need to hospitalize patients with cocaine-associated chest pain.
Studies have yielded conflicting data regarding the incidence of myocar-
dial infarction, and there are no clinical parameters that reliably identify
patients at low risk. These considerations mandate that all patients with
cocaine-associated chest pain be evaluated for myocardial infarction, as
patients with ECG changes or troponin elevation consistent with acute
MI have up to an 80% likelihood of having an obstructive coronary lesion
on angiography. 218,219 Furthermore, cocaine-related mental status changes
may interfere with patient reporting of cocaine-associated chest pain. 220
As patients often continue their abuse after discharge, clinicians must
emphasize the importance of cessation. 221,222 Cardiac stress tests or angi-
ography may not be necessary for patients in whom myocardial infarc-
tion has been ruled out, who are otherwise at low risk for coronary artery
disease, and who do not have continued chest pain; such patients appear B
to have a low risk for subsequent myocardial infarction and death.
Respiratory complications of cocaine include status asthmaticus,
223
upper airway obstruction (stridor), pulmonary hypertension,
224
225
barotrauma, pulmonary edema, and alveolar hemorrhage. Not
226
uncommonly, crack cocaine causes an acute pulmonary syndrome char-
acterized by dyspnea, diffuse infiltrates, and hemoptysis. The severity
227
of respiratory complications ranges from mild dyspnea to severe respira-
tory failure requiring intubation and mechanical ventilation.
Another severe manifestation of cocaine abuse is rhabdomyolysis.
228
Creatine kinase levels are often over 10,000 U/L on presentation, with
reported levels as high as 85,000 U/L. In severe cases, there may be
229
concurrent hyperthermia, tachycardia, muscle rigidity, disseminated
intravascular coagulation, hepatic dysfunction, and renal failure. 229
Cocaine-induced hyperthermia resembles neuroleptic malignant
syndrome ; both are characterized by a decrease in the number of dopa-
228
mine receptors or depletion of dopamine. Contributors to hyperthermia
include agitation and adrenergic stimulation causing vasoconstriction. FIGURE 124-2. A chest radiograph (A) and an abdominal CT scan with oral contrast
Rare cocaine-associated complications include ischemic colitis, (B) in a patient “body packing” cocaine. Note the presence of multiple densities in the stomach
230
renal infarction, nasal septal perforation, and localized areas of skin visible on the abdominal CT scan consistent with partially filled bags of cocaine, and that these
231
necrosis due to subcutaneous injection. Intranasal use of cocaine has bags are barely visible (if at all) in the left upper quadrant on the plain film.
section11.indd 1213 1/19/2015 10:52:02 AM

